El Ministerio de Salud (Minsa) continúa intensificando la vacunación a nivel nacional con el objetivo de proteger a la población contra enfermedades prevenibles como sarampión,
Day: September 14, 2025

Rimenses perdieron el liderato por la exclusión de Binacional y necesitan ganar. El local busca consolidarse en zona alta. Juegan 5:30 p. m.; L1 MAX

El Hospital Nacional Cayetano Heredia (HNCH) del Ministerio de Salud (Minsa) alcanzó un nuevo hito al realizar con éxito su trasplante renal número 158. El

El conjunto cusqueño busca sostener su racha positiva ante un local que lucha por alejarse del descenso. Alianza Universidad y Cienciano se enfrentan este domingo

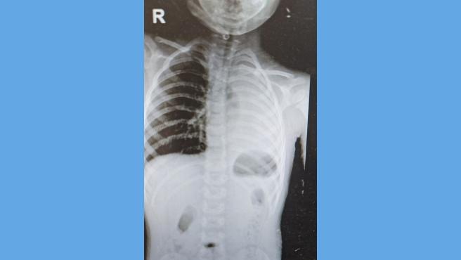
Profesionales de la salud del Hospital de Emergencias Pediátricas (HEP) del Minsa realizaron con éxito una broncoscopía a un niño de 3 años y 2

Choque del Clausura 2025 con transmisión de L1 MAX. Triunfo crema consolidaría liderazgo; victoria local reengancha al Dominó. Quién: Universitario de Deportes y Melgar.Qué: partido